TOP > 笠松病院 > レントゲン室 > MRI

最新鋭の医療設備を備え、現代医療のニーズをキャッチ

MRI検査室

MRI画像

東芝社製1.5テスラMRI装置
EXCELART Vantage Powered by Atlas


MRIとはMagnetic Resonance Image(磁気共鳴画像)の略です。 当病院のMRI装置は1.5T(テスラ)です。
X線CTとの違いは、X線ではなく磁気を使っている検査ということです。X線を用いないので放射線被曝がありません。 強い磁石とFMラジオで用いられる周波数の電波を使って、体の内部の状態を画像化する検査です。 人体を強い磁場の中に入れ、ある周波数の電磁場を流すと人体の水素原子と磁気共鳴し、この時の原子の状態を受信しコンピュータによって画像化します。
この検査で得られる画像は横断面だけでなく、縦・斜めとあらゆる断面、角度での撮影が可能で、 脳や脊髄・内臓・筋肉・関節・血管などを画像化することが出来ます。 またX線検査では造影剤を使用していた血管・胆嚢胆管・脊髄などの撮影も造影剤無しで痛みもなく簡単に検査ができ、診断に大変役立つ検査方法です。


MRIの特徴

長所 短所
どんな方向の断面でも撮影が可能 撮影時間が長い
組織コントラストが高い 動きに弱い
放射線による被曝がない 検査中の音が大きい
造影剤を使用せずに血管像を描出可能 骨皮質や石灰化等は写らない


MRIとCTの比較

MRI CT
画像をつくるために 強い磁場と電波を利用 X線(被曝を伴う)を利用
画像の描出 任意な方向(多方向) 基本的に1方向
機器の構造 圧迫感と大きな音 問題なし
入室前の必要な制限事項 金属類・貴重品(カード類含む)
を検査室内に持ち込めない。
タトゥー・化粧はやけどの恐れあり
撮影する範囲内に金属等がなければ特になし
このような方は検査できません ・ペースメーカー装着の方
・体内に金属(磁化性)のある方
・閉所恐怖症の方
・妊娠中(検査の必要性がある場合を除く)の方
・妊娠中(検査の必要性がある場合を除く)の方
血管の画像を作るには 造影剤を使用せずに検査可能 造影剤を静脈注射し検査しなければならない
対象となる疾患・部位
(得意とする分野)
・初期の脳梗塞
・脊髄の損傷やヘルニア
・靭帯・軟部組織
・骨盤内(婦人科疾患)
・出血・石灰化
・穿孔による急性腹症

※ 主治医は症状に合わせて検査方法(MRI または CT)を選択しています。
※ 医療被曝(治療を除く)における身体的・遺伝的影響の事例は報告されていません


検査について

検査時間は部位や内容によって異なりますが、20分から40分程度で長くても1時間位です。 検査中は大きな音がしてその間、体を動かさないようにしていただきます。 場合によっては造影剤という薬を注射して撮影することもあります。

  1. 検査前に検査衣に着替えて頂きます。(頭部検査は不要)
  2. 身体に金属類がないか確認をします。
  3. 検査台の上に寝ていただき、身体の位置が決まったらガントリー(磁石のトンネル)の中に入ります。
  4. 検査が始まると、カンカンカン、ビーンビーン、というような連続音が検査終了まで続きます。身体を動かさないよう協力していただきます。
    腹部検査では息止めをしていただきます。(25秒前後ほどの息止めを数回)

※ 検査中は常に担当者と連絡が取れるようになっていますので、ご安心ください。

MRAとは
MR Angiography の略で、造影剤を用いずに血管を3次元的に見る方法です。脳内の動脈を見る際によく用いられる検査方法です。

造影MRI
MRI検査では、より詳しい検査を行なうために造影剤を使用することがあります。 通常、造影剤(ガドリニウムDTPA)を腕の静脈から大人で10〜15ml程を注射します。 CT同様腫瘍等が他の組織とは違った信号を出すので、何の病気かが判別することが出来ます。造影剤は、ほとんど尿となって排泄されます。

CT検査等の造影剤に比べ比較的副作用が少ない薬ですが、次の方は注意する必要があります。

  • 喘息にかかった事のある方、またはアレルギー体質の方。
  • 以前に造影剤を投与し、副作用の出た方。

これらの方は主治医または担当者にあらかじめお知らせください。

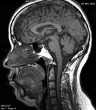
MRI画像
脳動脈瘤 早期の脳硬塞 頭部縦断面
腹部 腰椎 頚椎

MRI検査は、様々な部位の検査ができます。
特に頸椎・腰椎などの椎間板ヘルニア、関節、胆嚢の形姿観察などが得意分野です。

MRI検査をご希望の方は、医師にお尋ね下さい。


MRI検査を受けるときの注意

検査はすべての人が受ける事が出来るわけではありません
MRI室内は強磁場区域になっています。磁性体は大きい物ほど吸引力が大きくなり、磁気によりガントリー内に急激に引き込まれます。
MRI検査を受けるに当たって事前に注意しなければならないことがいくつかあります。
MRI検査で使用される磁場や電波は普通の場合は人体への影響はありませんが、次にあげるような方はMRI検査を受けられないことがあります。 あらかじめ医師又は検査担当者に是非お知らせください。

磁性体装着者は入室厳禁!
強い磁石を用いているため、心臓ペースメーカーを埋め込まれている方、 脳動脈瘤の治療のため材質不明の動脈瘤クリップが入っている方、 人工心臓弁を使用している方など、磁性体の体内装着者は磁性体がガントリーへ吸引され、 体内を傷つけたり動作不良になる恐れがありますので、入室を厳禁してください。
また、人工関節を使用している方、手術や事故で体内に金属が入っている方は、その材質や部位によっては危険な場合があったり、 十分な画像が得られない場合がありますので注意が必要となります。
検査時は、体内から信号を得るために電磁波を照射しますが、 タトゥー体内金属があると発熱しやけどをする恐れがあります。 医師から指示された場合は必ずその旨を医師にご申告ください。
また化粧品(アイシャドー・マスカラ)の中には、タトゥーと同じように金属紛を含んだものもありますので、検査前に落としていただくこともあります。
カラーコンタクトにも、金属が含まれている場合がありますので、取り外していただきます。

妊娠中、もしくは妊娠の可能性のある方
検査の際は、狭い筒の中に入っていきますので閉所恐怖症等、狭いところが苦手な方は医師、看護師、担当技師等にご相談ください。

磁性体装備品の持ち込み厳禁

金属類
金属類は検査に影響を与えたり、持ち込んだもの自体が故障したり、使えなくなったりする恐れがあります。
時計・メガネ・ライター・ヘアピン・安全ピン・家や車の鍵・バンド・ネックレス・イヤリング・ピアス・指輪・など
磁気カード類
磁気カードは記録されている内容が破壊され、使用できなくなる恐れがあります。
キャッシュカード・クレジットカード・定期券・テレホンカードなど
その他
ニトロダームなど心臓の貼り薬・シップ薬・取り外しが出来る義歯・補聴器・カイロ・エレキバン・金属の付いた下着、携帯電話・カラーコンタクトなど
検査に影響を与えたり、持ち込んだもの自体が故障したり、使えなくなったりする恐れがあります。

金属による画像への影響
小さな非磁性体の金属でもガントリー内に持ち込まれますと画像に影響を与えますので、持ち込まないでください。

以上にあげたように、MRI検査を受けるには多少の制限があります。
それは十分安全に気をつけ、より良い検査結果を得る為のものですのでご協力、ご理解をお願いします。